BOALA PERIODONTALĂ (PARODONTOZA) – INCIDENȚĂ CRESCUTĂ ÎN RÂNDUL PACIENȚILOR CU DIABET

BOALA PERIODONTALĂ (PARODONTOZA) – INCIDENȚĂ CRESCUTĂ ÎN RÂNDUL PACIENȚILOR CU DIABET

10.10.2019


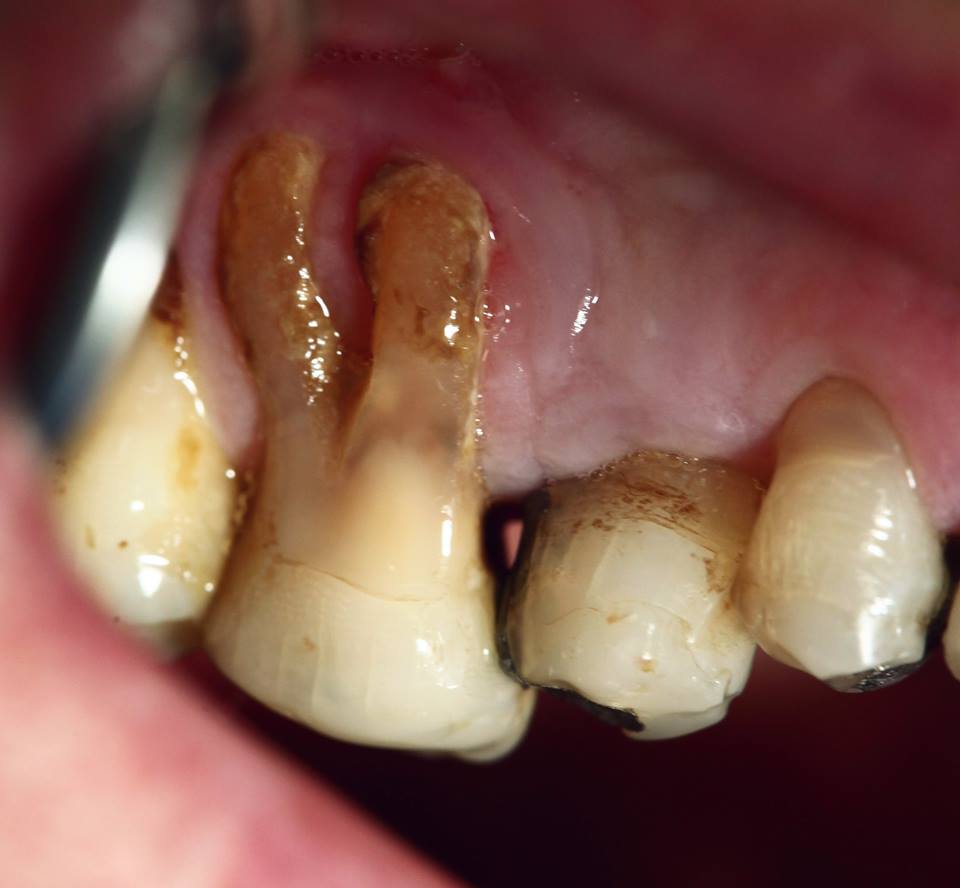
Baoala periodontală (parodontoza) este o afecțiune a cavității bucale caracterizată de distrugerea structurilor de susținere a danturii (ligament parodontal și os alveolar). Clinic se manifestă cu inflamație cronică a gingiilor, retragere gingivală, multiple episoade de infecții la nivelul arcadelor dentare și pierderea danturii.
S-a demonstrat că diabetul este un factor de risc major pentru parodontoză – un pacient diabetic având risc de 3 ori mai mare decât un individ sănătos să dezvolte boală periodontală.

• Există o legătură direct proporțională între TENDINȚA LA HIPERGLICEMIE ȘI SEVERITATEA PARODONTOZEI;[1]

• Deși nu au fost încă explicate exact mecanismele care duc la parodontoză în rândul pacienților diabetici, acestea sunt legate de gradul de inflamație cronică și activitatea inadecvată a sistemului imunitar;

• Tot în contextul inflamației cronice joacă un rol important și angiopatia diabetică, ce duce la degradarea peretelui vascular la nivel gingival, cu acțiune în diminuarea eficienței sistemului imun în distrugerea și controlul florei bacteriene bucale;

• Odată instalată, boala periodontală duce la inflamație cronică și numeroase episoade de infecție la nivel gingival, cu efect nociv asupra glicemiei (infecția și inflamația rezultate duc la creșterea semnificativă a rezistenței la insulină);[2]

• Diabetul dezechilibrat și boala periodontală constituie un cerc vicios, cele două afecțiuni potențându-se reciproc;

• Consultul stomatologic regulat este foarte important în rândul pacienților diabetici, deoarece netratarea acestei afecțiuni dentare dezechilibrează diabetul;

• Un diabet dezechilibrat (cu preponderență hiperglicemică) crește de 3 ori riscul de parodontoză;

• În cazul în care un pacient diabetic prezintă și parodontoză, tratamentul trebuie să vizeze concomitent două aspecte esențiale: ameliorarea glicemiilor și tratamentul stomatologic local.

Referințe:
1. Preshaw PM, Alba AL, Herrera D et al. Periodontitis and diabetes: a two-way relationship. Diabetologia. 2012 Jan;55(1):21-31.
2. Casanova L, Hughes FJ, Preshaw PM. Diabetes and periodontal disease: a two-way relationship. Br Dent J. 2014 Oct;217(8):433-7.

Mai multe articole

Tu știi ce risc de boală cardiovasculară ai?

4.11.2024

Medicamente disponibile pentru tratamentul obezitatii / excesului ponderal

1.07.2024

RMN-ul de sân, un aliat extraordinar în prevenția sau monitorizarea afecțiunilor mamare

18.12.2023

Tiroidita Hashimoto – cea mai frecventă boală autoimună

25.05.2022

Infertilitatea – investigații de bază pentru elucidarea principalelor cauze

25.05.2022